診療案内|入れ歯
入れ歯
入れ歯には、「部分入れ歯」から「総入れ歯」までさまざまです。
材質につきましても、金属製の金具を使うものから、プラスチック製の義歯床を使用するものもあり、固定方法も歯根に磁石を埋め込むタイプなど、さまざまなバリエーションがあります。
患者さまの状態やご希望に応じてご提案させていただきます。以下に入れ歯のタイプをご紹介いたします。
◆部分入れ歯

部分入れ歯は、歯ぐきに人工歯のついた床を乗せて、残った歯にバネ(クラスプ)をかけて安定させるもので、欠損が1本だけの場合から、歯が1本しか残っていない場合まで対応できます。
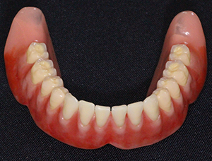
◆総入れ歯


上下のどちらかの顎で自分の歯がまったくない場合に使われるのが総入れ歯です。
総入れ歯は床(しょう)と呼ばれるピンク色の土台の上に人工歯が並んでいて、噛み合わせや、審美を回復させる目的で使います。
◆インプラントオーバーデンチャー
インプラントを支えにする義歯は、通常の義歯と比べて支えがしっかりしているため、不安定な義歯でお悩みだった方の場合でも、外れにくくガタつかずにしっかり噛めるようになります。また入れ歯の浮き上がりを抑えることが出来ます。
使用するインプラントの本数が少なく出来るため、経済的な治療法です。
◆マグネットデンチャー

歯冠が失われても歯根が残せる場合には、歯根に固定用の磁石を埋め込み、それを利用して、さらに義歯に「小型磁石」を埋め込み、磁石の力で着脱しぴったりと吸着します。
バネや複雑な仕掛け等がないシンプルな構造なので簡単に装着取り外しができ、通常の義歯と比べて、お手入れも簡単にすみます。
◆ノンクラスプデンチャー

そのため、口を開けても金属製の金具が見えないので、審美性に大変優れています。
◆金属庄

義歯床が金属で出来ていて、入れ歯の中でも、特に精密な工程で作られるものです。保険で使用するレジン床義歯(樹脂製入れ歯)に比べ非常に使い心地が良く、長持ちするのが特徴です。
金属を利用することにより、強度に優れている為非常に薄くすることができ、お口にフィットし、会話もしやすくなり、入れ歯の違和感を少なくすることを追求すると同時に,飲食物の温度をそのまま伝達することができる入れ歯で食事も強い力で咬みしめることができます。
又、金属床義歯に用いる材質は主に生体親和性のある体にやさしくなじみやすい金属(コバルトクロム、チタン、白金)を使っていますので、アレルギーなどはほとんどありません。
◆人生を変える”噛める入れ歯”
TV番組『新報道2001』で2016年4月3日に「人生を変える”噛める入れ歯”」というタイトルで放送されました。
当医院では、番組で紹介された入れ歯の技術をご提供しています。
<内容>
現在日本では65歳で8割以上のひとが入れ歯を入れています。しかし多くの人が合わない入れ歯になってしまっています。噛めない入れ歯を噛めるようにすることで歩けなかった人が歩けるようになったり、認知症の症状を改善また進行を遅らせたりすることができます。実際に歯の本数が多い程転倒のリスクが少なく、しっかり噛めていない人の認知症はそうでない人の1.8倍というデータがあります。これは噛めることで歯をくいしばる事ができ、ふんばれるということと、脳の記憶をつかさどる細胞を刺激しているからと考えられています。歯から見直す健康管理として、正常な口腔機能を与えることは患者様を自立させ、患者さんを取り巻く環境であるご家族の方への大きな助けになります。
河原英雄(カワハラヒデオ)※番組出演
医学博士。1941年福岡県に生まれる。1967年九州歯科大学を卒業。翌年、福岡市にて河原英雄歯科医院を開業。2002年、大分県佐伯市にて歯科河原英雄医院(完全保険医)を開業。奥羽大学歯学部客員教授・九州大学歯学部臨床教授・日本審美歯科協会会長・日本顎咬合学会会長などを歴任